Implanty Warszawa – temat, który cieszy się rosnącym zainteresowaniem wśród mieszkańców stolicy, zarówno ze względu…
Koszt implantów w Warszawie jest zróżnicowany i zależy od wielu czynników, takich jak doświadczenie lekarza, rodzaj użytych materiałów oraz lokalizacja kliniki. Warto zauważyć, że ceny mogą się różnić w zależności od tego, czy wybieramy implanty krajowe, czy zagraniczne. Średni koszt jednego implantu zębowego w Warszawie waha się od kilku do kilkunastu tysięcy złotych, a dodatkowe procedury, takie jak wszczepienie kości czy sinus lifting, mogą znacznie podnieść całkowity koszt leczenia. Wiele klinik oferuje różne pakiety, które mogą obejmować konsultacje, zdjęcia rentgenowskie oraz inne niezbędne badania. Warto również zwrócić uwagę na promocje oraz możliwość rozłożenia płatności na raty, co może ułatwić dostęp do leczenia. Przed podjęciem decyzji o wyborze konkretnej kliniki warto przeanalizować oferty kilku miejsc oraz zapoznać się z opiniami pacjentów, aby dokonać najlepszego wyboru.
Cena implantów w Warszawie jest determinowana przez szereg czynników, które mają kluczowe znaczenie dla jakości oraz trwałości leczenia. Po pierwsze, doświadczenie i kwalifikacje stomatologa mają ogromny wpływ na koszt zabiegu. Lekarze z większym doświadczeniem często pobierają wyższe stawki za swoje usługi, ale ich umiejętności mogą zapewnić lepsze wyniki. Kolejnym istotnym czynnikiem jest rodzaj użytych materiałów. Implanty wykonane z wysokiej jakości tytanu lub ceramiki mogą być droższe niż te wykonane z innych materiałów, ale ich trwałość i estetyka są zazwyczaj lepsze. Dodatkowo lokalizacja kliniki ma znaczenie; placówki znajdujące się w centrum miasta mogą mieć wyższe ceny ze względu na wyższe koszty wynajmu lokalu. Warto również pamiętać o dodatkowych kosztach związanych z diagnostyką oraz ewentualnymi zabiegami przygotowawczymi, które mogą być konieczne przed wszczepieniem implantu.

W Warszawie istnieje wiele opcji finansowania implantów zębowych, co może ułatwić pacjentom pokrycie kosztów leczenia. Wiele klinik stomatologicznych oferuje możliwość płatności ratalnej, co pozwala na rozłożenie wydatków na dogodne dla pacjenta raty. Dzięki temu można uniknąć jednorazowego wydatku dużej sumy pieniędzy i dostosować płatności do swojego budżetu. Oprócz tego niektóre placówki współpracują z instytucjami finansowymi, które oferują kredyty na zabiegi stomatologiczne. Tego typu rozwiązania często wiążą się z korzystnymi warunkami spłaty oraz niskimi oprocentowaniami. Warto również sprawdzić, czy dana klinika oferuje programy lojalnościowe lub promocje dla nowych pacjentów, co może dodatkowo obniżyć koszty leczenia. Niektóre osoby decydują się także na korzystanie z ubezpieczeń zdrowotnych, które mogą częściowo pokrywać koszty implantów.
Opinie pacjentów dotyczące implantów w Warszawie są bardzo różnorodne i mogą dostarczyć cennych informacji dla osób planujących takie leczenie. Wiele osób chwali sobie efekty estetyczne oraz funkcjonalne związane z wszczepieniem implantów, podkreślając poprawę komfortu życia oraz pewności siebie po zakończonym leczeniu. Pacjenci często zwracają uwagę na profesjonalizm lekarzy oraz personelu medycznego w warszawskich klinikach stomatologicznych. Wiele osób docenia indywidualne podejście do pacjenta oraz szczegółowe wyjaśnienie wszystkich etapów leczenia przed przystąpieniem do zabiegu. Z drugiej strony można spotkać się także z negatywnymi opiniami, które dotyczą głównie wysokich kosztów zabiegów lub długiego czasu oczekiwania na wizyty kontrolne. Dlatego przed wyborem kliniki warto zapoznać się z recenzjami innych pacjentów oraz poszukać rekomendacji w Internecie lub wśród znajomych.
W Warszawie można zaobserwować dynamiczny rozwój technologii związanych z implantologią, co przekłada się na coraz wyższą jakość świadczonych usług. Nowoczesne metody diagnostyczne, takie jak tomografia komputerowa, pozwalają na dokładne zaplanowanie zabiegu oraz minimalizację ryzyka powikłań. Dzięki tym technologiom lekarze mogą precyzyjnie ocenić stan kości i zaplanować odpowiednie działania, co zwiększa szanse na sukces całego leczenia. W ostatnich latach wprowadzono także systemy cyfrowego projektowania uśmiechu, które umożliwiają pacjentom zobaczenie efektu końcowego jeszcze przed rozpoczęciem zabiegu. Takie innowacje nie tylko poprawiają estetykę, ale również zwiększają komfort pacjentów, którzy mają możliwość aktywnego uczestnictwa w procesie planowania leczenia. Dodatkowo, nowe materiały implantacyjne, takie jak implanty ceramiczne, stają się coraz bardziej popularne ze względu na ich biokompatybilność oraz naturalny wygląd.
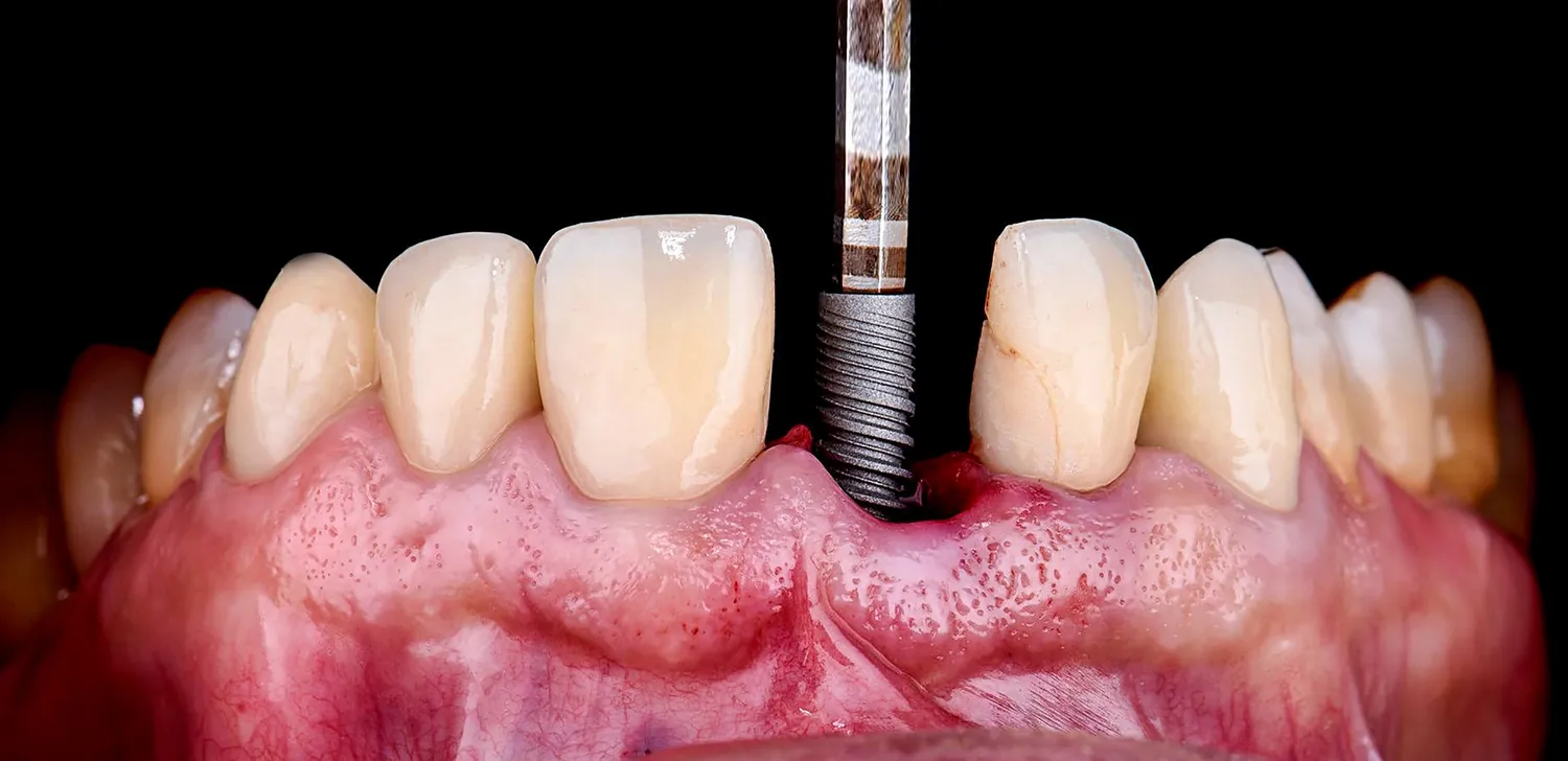
Proces wszczepienia implantu zębowego w Warszawie składa się z kilku kluczowych etapów, które są starannie zaplanowane przez specjalistów. Pierwszym krokiem jest konsultacja stomatologiczna, podczas której lekarz ocenia stan zdrowia pacjenta oraz wykonuje niezbędne badania diagnostyczne, takie jak zdjęcia rentgenowskie czy tomografia komputerowa. Na podstawie tych informacji lekarz podejmuje decyzję o możliwości przeprowadzenia zabiegu oraz przedstawia pacjentowi plan leczenia. Kolejnym etapem jest przygotowanie do zabiegu, które może obejmować dodatkowe procedury, takie jak regeneracja kości czy usunięcie zębów. Sam zabieg wszczepienia implantu odbywa się w znieczuleniu miejscowym i polega na umieszczeniu tytanowego implantu w kości szczęki lub żuchwy. Po zakończeniu tego etapu następuje okres gojenia, który trwa zazwyczaj od kilku tygodni do kilku miesięcy. W tym czasie implant integruje się z kością, co jest kluczowe dla jego stabilności. Po zakończeniu procesu gojenia lekarz przystępuje do zakupu korony protetycznej, która zostaje umieszczona na implancie.
Implanty zębowe w Warszawie mają wiele zalet, które przyciągają pacjentów poszukujących skutecznych rozwiązań dla brakujących zębów. Przede wszystkim zapewniają one naturalny wygląd oraz funkcjonalność porównywalną do zdrowych zębów. Dzięki temu pacjenci mogą cieszyć się pełnym komfortem podczas jedzenia i mówienia. Implanty są również trwałe i mogą służyć przez wiele lat, a nawet całe życie przy odpowiedniej pielęgnacji i regularnych wizytach kontrolnych u stomatologa. Dodatkowo wszczepienie implantu pomaga zachować strukturę kości szczęki, co jest istotne dla estetyki twarzy oraz zapobiega dalszym problemom stomatologicznym. Z drugiej strony istnieją pewne wady związane z tym rozwiązaniem. Koszt implantów może być wysoki i nie każdy pacjent ma możliwość ich sfinansowania. Ponadto proces leczenia jest czasochłonny i wymaga kilku wizyt u specjalisty. Istnieje także ryzyko powikłań pooperacyjnych oraz konieczność przestrzegania ścisłych zaleceń dotyczących higieny jamy ustnej po zabiegu.
Przygotowanie do zabiegu wszczepienia implantu zębowego w Warszawie jest kluczowe dla jego sukcesu oraz komfortu pacjenta. Pierwszym krokiem jest umówienie się na konsultację ze stomatologiem, który oceni stan zdrowia jamy ustnej oraz przeprowadzi niezbędne badania diagnostyczne. Ważne jest również poinformowanie lekarza o wszystkich przyjmowanych lekach oraz ewentualnych schorzeniach, które mogą wpłynąć na przebieg zabiegu. Przed samym zabiegiem zaleca się unikanie alkoholu oraz palenia papierosów przez kilka dni, ponieważ te czynniki mogą negatywnie wpłynąć na proces gojenia. Pacjenci powinni również zadbać o odpowiednią higienę jamy ustnej przed wizytą u stomatologa oraz stosować się do zaleceń dotyczących diety – najlepiej spożywać lekkostrawne posiłki przed zabiegiem i unikać twardych pokarmów.
Czas gojenia po wszczepieniu implantu zębowego w Warszawie może być różny w zależności od indywidualnych predyspozycji pacjenta oraz skomplikowania samego zabiegu. Zazwyczaj proces ten trwa od 3 do 6 miesięcy, jednak u niektórych osób może być krótszy lub dłuższy. W trakcie tego okresu implant integruje się z kością szczęki lub żuchwy poprzez proces zwany osteointegracją. Jest to kluczowy etap dla stabilności implantu i jego późniejszego użytkowania. Warto zaznaczyć, że podczas gojenia pacjent powinien przestrzegać zaleceń lekarza dotyczących diety oraz higieny jamy ustnej, aby uniknąć infekcji i innych komplikacji. Regularne wizyty kontrolne u stomatologa są również istotne dla monitorowania postępów gojenia oraz ewentualnego dostosowania planu leczenia.
Dbanie o implanty zębowe po ich wszczepieniu jest kluczowe dla zapewnienia ich długotrwałej funkcjonalności oraz estetyki. Po pierwsze, regularna higiena jamy ustnej jest niezbędna – należy myć zęby co najmniej dwa razy dziennie pastą zawierającą fluor oraz stosować nici dentystyczne lub irygatory do oczyszczania przestrzeni międzyzębowych wokół implantu. Ważne jest również unikanie twardych pokarmów oraz nadmiernego obciążania sztucznych zębów, co może prowadzić do uszkodzeń lub luzowania implantu. Regularne wizyty kontrolne u stomatologa są istotnym elementem dbania o zdrowie jamy ustnej – lekarz będzie mógł ocenić stan implantu oraz wykryć ewentualne problemy na wczesnym etapie. Pacjenci powinni także informować swojego dentystę o wszelkich zmianach w stanie zdrowia ogólnego lub jamy ustnej, które mogą wpłynąć na kondycję implantu.
Alternatywy dla implantów zębowych w Warszawie obejmują różne metody leczenia braków w uzębieniu, które mogą być odpowiednie dla pacjentów z różnych powodów. Jedną z najpopularniejszych opcji są mosty protetyczne, które polegają na osadzeniu sztucznych zębów na zdrowych zębach sąsiadujących z luką. Mosty są stosunkowo szybkie do wykonania i mogą poprawić estetykę oraz funkcjonalność uzębienia, jednak wymagają szlifowania zdrowych zębów, co może być ich wadą. Inną opcją są protezy ruchome, które można łatwo zdjąć i założyć. Protezy są tańsze niż implanty, ale mogą być mniej stabilne i komfortowe, co wpływa na jakość życia pacjenta. W przypadku mniejszych braków można również rozważyć zastosowanie wkładów koronowych lub licówek, które poprawiają wygląd istniejących zębów.