Implanty zębowe to coraz popularniejsza metoda uzupełniania braków w uzębieniu. W Warszawie ceny implantów mogą…
Implanty zębowe to coraz bardziej popularne rozwiązanie dla osób, które borykają się z utratą zębów. W Warszawie ceny implantów mogą się znacznie różnić w zależności od wielu czynników, takich jak doświadczenie lekarza, lokalizacja gabinetu oraz rodzaj użytych materiałów. Warto zaznaczyć, że koszt jednego implantu zębowego w stolicy oscyluje zazwyczaj w granicach od kilku do kilkunastu tysięcy złotych. W skład całkowitego kosztu wchodzą nie tylko same implanty, ale również dodatkowe procedury, takie jak konsultacje, zdjęcia rentgenowskie oraz ewentualne zabiegi przygotowawcze. Wiele klinik oferuje również pakiety, które mogą obejmować kilka implantów w korzystniejszej cenie. Dobrze jest porównać oferty różnych gabinetów stomatologicznych i zwrócić uwagę na opinie pacjentów, aby znaleźć najlepszą opcję dostosowaną do swoich potrzeb i możliwości finansowych.
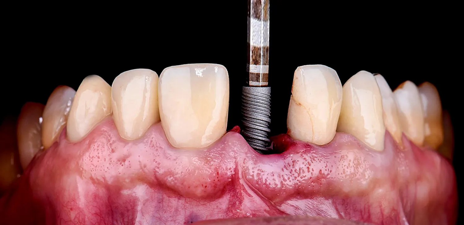
W Warszawie pacjenci mają do wyboru różne rodzaje implantów zębowych, co pozwala na dostosowanie leczenia do indywidualnych potrzeb i oczekiwań. Najpopularniejsze są implanty tytanowe, które charakteryzują się wysoką biokompatybilnością i trwałością. Tytan jest materiałem, który dobrze integruje się z kością, co sprawia, że implanty te są niezwykle stabilne i odporne na uszkodzenia. Oprócz tego dostępne są również implanty ceramiczne, które są estetycznym rozwiązaniem dla osób poszukujących naturalnego wyglądu. Implanty ceramiczne często wybierane są przez pacjentów z alergiami na metale lub tych, którzy pragną uniknąć widocznych metalowych elementów w jamie ustnej. Warto również wspomnieć o systemach implantologicznych, które różnią się kształtem oraz technologią wykonania. Niektóre z nich oferują szybszy proces gojenia oraz mniejsze ryzyko powikłań.

Zakup implantów zębowych w Warszawie zaczyna się od wizyty u stomatologa, który przeprowadza szczegółową diagnostykę oraz ocenia stan uzębienia pacjenta. Na podstawie wyników badań lekarz może zaproponować odpowiedni plan leczenia oraz przedstawić szczegółowy kosztorys związany z zabiegiem. Po zaakceptowaniu oferty następuje etap przygotowania do wszczepienia implantu, który może obejmować dodatkowe zabiegi takie jak ekstrakcja zębów czy regeneracja kości. Sam zabieg wszczepienia implantu odbywa się w znieczuleniu miejscowym i trwa zazwyczaj od jednej do dwóch godzin. Po wszczepieniu implantu konieczne jest przestrzeganie zaleceń lekarza dotyczących pielęgnacji jamy ustnej oraz regularnych wizyt kontrolnych. Proces gojenia może trwać od kilku tygodni do kilku miesięcy, w zależności od indywidualnych predyspozycji pacjenta oraz wybranego systemu implantologicznego. Po zakończeniu gojenia następuje etap protetyczny, podczas którego na implancie umieszczana jest korona lub inny element protetyczny.
Opinie pacjentów na temat implantów zębowych w Warszawie są zazwyczaj pozytywne, co potwierdza ich rosnącą popularność jako skutecznej metody leczenia braków w uzębieniu. Wielu pacjentów podkreśla znaczenie estetyki oraz funkcjonalności uzyskanej dzięki implantom, które pozwalają na normalne jedzenie i mówienie bez obaw o ich stabilność. Osoby decydujące się na ten krok często wskazują na komfort psychiczny związany z poprawą wyglądu uśmiechu oraz ogólnej jakości życia. Warto jednak zauważyć, że niektórzy pacjenci mogą doświadczać pewnych trudności podczas procesu gojenia lub wystąpienia komplikacji po zabiegu. Dlatego tak istotne jest wybieranie renomowanych klinik oraz doświadczonych specjalistów, którzy zapewnią odpowiednią opiekę przed i po zabiegu. Wiele osób zwraca uwagę na znaczenie konsultacji przed zabiegiem oraz otwartość lekarzy na pytania i obawy pacjentów.
Wiele osób, które rozważają wszczepienie implantów zębowych w Warszawie, ma szereg pytań dotyczących tego procesu. Jednym z najczęściej zadawanych pytań jest to, jak długo trwa cały proces leczenia. Zazwyczaj od pierwszej wizyty do zakończenia leczenia może minąć od kilku miesięcy do roku, w zależności od indywidualnych potrzeb pacjenta oraz zastosowanej metody. Kolejnym istotnym pytaniem jest kwestia bólu związana z zabiegiem. Wszczepienie implantu odbywa się w znieczuleniu miejscowym, co minimalizuje dyskomfort. Po zabiegu pacjenci mogą odczuwać lekkie dolegliwości, które można złagodzić przy pomocy dostępnych leków przeciwbólowych. Wiele osób zastanawia się także nad trwałością implantów. Przy odpowiedniej pielęgnacji i regularnych wizytach kontrolnych implanty mogą służyć przez wiele lat, a nawet całe życie. Inne pytania dotyczą kosztów oraz możliwości finansowania zabiegu.
Implanty zębowe mają wiele zalet, które przyciągają pacjentów do ich stosowania w Warszawie. Przede wszystkim zapewniają one naturalny wygląd i funkcjonalność, co pozwala na komfortowe jedzenie i mówienie. Dzięki swojej biokompatybilności implanty dobrze integrują się z kością, co sprawia, że są stabilne i trwałe. Dodatkowo, nie wpływają na sąsiednie zęby, co jest istotne w porównaniu do tradycyjnych mostów protetycznych. Warto również wspomnieć o tym, że implanty mogą pomóc w zachowaniu struktury kości szczęki, co jest kluczowe dla zdrowia jamy ustnej. Mimo licznych zalet istnieją także pewne wady związane z wszczepieniem implantów. Proces leczenia może być czasochłonny i wymaga cierpliwości ze strony pacjenta. Koszty związane z zabiegiem mogą być wysokie, co dla niektórych osób stanowi barierę finansową. Ponadto istnieje ryzyko powikłań pooperacyjnych, takich jak infekcje czy problemy z gojeniem się tkanek.
Dla osób, które nie są pewne czy chcą zdecydować się na implanty zębowe w Warszawie, istnieje kilka alternatywnych rozwiązań. Jednym z najpopularniejszych jest stosowanie protez ruchomych lub stałych. Protezy ruchome to rozwiązanie bardziej ekonomiczne, jednak wymagają one większej dbałości o higienę oraz mogą powodować dyskomfort podczas noszenia. Z kolei mosty protetyczne to inna forma uzupełnienia brakujących zębów, która polega na osadzeniu sztucznych zębów na zdrowych filarach. Choć mosty są estetyczne i funkcjonalne, wymagają szlifowania sąsiednich zębów, co może prowadzić do ich osłabienia w przyszłości. Inną opcją są koronki na naturalnych zębach lub wykonanie tzw. licówek, które poprawiają estetykę uśmiechu bez konieczności usuwania całkowicie zęba. Warto również rozważyć leczenie ortodontyczne jako sposób na poprawę układu zębów i uzyskanie lepszego efektu estetycznego bez konieczności wszczepiania implantów.
W ostatnich latach rozwój technologii stomatologicznych przyniósł wiele innowacji związanych z implantami zębowymi w Warszawie. Jedną z najbardziej znaczących nowości jest zastosowanie cyfrowego planowania zabiegów oraz technologii CAD/CAM do projektowania i produkcji implantów oraz koron protetycznych. Dzięki tym rozwiązaniom możliwe jest precyzyjne dopasowanie implantu do indywidualnej anatomii pacjenta oraz skrócenie czasu leczenia. Kolejnym przełomem jest wykorzystanie materiałów biokompatybilnych o wysokiej wytrzymałości oraz estetyce, takich jak ceramika czy stopy tytanu o zmniejszonej wadze. Technologia 3D również znalazła swoje zastosowanie w stomatologii; dzięki skanowaniu 3D można dokładnie odwzorować strukturę jamy ustnej pacjenta i stworzyć spersonalizowane rozwiązania protetyczne. Wprowadzenie technik minimalnie inwazyjnych pozwala na zmniejszenie urazów tkanek podczas zabiegów wszczepienia implantów oraz przyspiesza proces gojenia się ran pooperacyjnych.
Prawidłowa pielęgnacja implantów zębowych po ich wszczepieniu jest kluczowa dla zapewnienia ich długotrwałej funkcjonalności i estetyki. Po pierwsze, niezwykle ważne jest przestrzeganie zasad higieny jamy ustnej; należy regularnie myć zęby co najmniej dwa razy dziennie oraz używać nici dentystycznej lub specjalnych szczoteczek międzyzębowych do czyszczenia okolic wokół implantu. Regularne wizyty kontrolne u stomatologa pozwalają na monitorowanie stanu zdrowia implantu oraz wykrywanie ewentualnych problemów na wczesnym etapie. Pacjenci powinni również unikać twardych pokarmów oraz nadmiernego obciążania implantu podczas żucia przez pierwsze tygodnie po zabiegu; to pozwoli na prawidłowe gojenie się tkanek wokół implantu. Osoby palące powinny rozważyć rzucenie palenia lub ograniczenie jego spożycia, ponieważ nikotyna może negatywnie wpływać na proces gojenia i zwiększać ryzyko powikłań.
Wybór odpowiedniej kliniki stomatologicznej do wszczepienia implantów zębowych w Warszawie jest kluczowy dla sukcesu całego procesu leczenia. Przede wszystkim warto zwrócić uwagę na doświadczenie lekarzy specjalizujących się w implantologii; ich kwalifikacje oraz liczba przeprowadzonych zabiegów mają ogromne znaczenie dla bezpieczeństwa pacjenta oraz jakości wykonanej pracy. Rekomendacje znajomych lub opinie zamieszczane w internecie mogą być cennym źródłem informacji o danej klinice oraz jej usługach. Ważnym aspektem jest również wyposażenie gabinetu; nowoczesny sprzęt medyczny oraz zastosowanie innowacyjnych technologii mogą znacznie wpłynąć na komfort i efektywność leczenia. Należy także zwrócić uwagę na atmosferę panującą w klinice; przyjazny personel oraz komfortowe warunki mogą pomóc pacjentowi poczuć się swobodniej podczas wizyt.